결절 암입니까? 갑상선 석회화

안녕하세요 부산 연제구 이진영 엄마병원입니다.갑상선 결절은 대부분 양성으로 암으로 발전할 가능성은 작지만, 그중 갑상선 결절 내 석회화 소견이 보이는 경우는 갑상선암일 가능성이 높습니다.하지만 갑상선 석회화라고 해서 모두 암으로 판정되는 것은 아니기 때문에 조직검사로 정밀 진단을 받을 필요가 있다.

갑상선 결절이란?

갑상선 세포가 과잉 잉에 증식하는 갑상선에 응어리가 생기는 질환을 갑상선 결절이라고 합니다.발생률이 높은 남성에 비해서 여성 분들이 많이 발생합니다.결절을 양성과 악성으로 구분되지만, 대부분 양성 결절인데 약 10%정도는 암으로 진단될 가능성이 있어 정밀 진단이 필요합니다.

갑상샘 석회화란?석회는 조직과 세포로 칼슘이 비정상적으로 증식한 것으로, 초음파 검사로 흰색 점, 선과 응집된 형태 등으로 나타납니다.갑상샘 석회화는 초음파 검사로 분포의 정도, 모양, 크기, 위치 등을 통해서 양성인지 악성인지 진단합니다.양성 석회화는 표면이 분명하고 규칙적인데 악성 석회화는 거대 석회화의 경우나, 흰 점이 있었으며 크기가 매우 작은 소견이 보이지만 미세 석회화의 경우 깨끗이 제거하는 것이 어려운 재발 가능성이 높습니다.

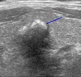
▶ 좌) 불균일한 결절 내부에 미세석회화를 여러 개 볼 수 있는 악성결절, 우측) 2mm 이상의 거대석회화를 볼 수 있는 악성결절(출처: 서울대암병원)

갑상선 석회화 결절 증상 갑상선 석회화 결절은 다른 갑상선 질환과 마찬가지로 증상이 모호해 다른 질환으로 착각하기 쉽습니다.갑상선결절 내 석회화가 과도하게 진행된 경우에는 조직세포를 채취하는 데 어려움이 있으므로 만성피로감, 목의 이물감 등 갑상선질환 의심증상이 나타나는 경우에는 조기에 갑상선검진을 받아보는 것이 좋습니다.

<갑상선 질환 의심 증상>

  1. 결절이 크거나 갑자기 커진 경우 2. 목에 이물감이 있고 불편한 경우 3. 갑상선에 덩어리가 있고 목소리의 변화가 있는 경우 4. 결절이 매우 딱딱하게 닿는 경우 5. 목의 특정 부위가 항상 부어 있는 경우 6. 가족 중에 갑상선암 환자가 있어 결절이 닿는 경우

갑상선 결절 조직 검사 석회화 결절이 반드시 갑상선암이 되는 것은 아닙니다.정확한 진단을 위해 초음파 검사로 악성 가능성이 있는 경우 세포 검사로 정확하게 진단합니다.결절의 위치, 크기, 모양, 상태 등을 관찰하여 악성 위험도가 있으면 미세침흡인검사, 총조직검사 등을 통해 조직검사를 실시하고 암으로 진단된 경우 수술로 치료합니다.암이 아닌 양성결절의 경우 불편함이 없으면 정기적인 검사를 통해 경과를 관찰합니다.

양성결절은 고주파절제술에!

고주파 절제술은 1mm의 미세한 열침을 통해 바늘 주변의 종양을 제거합니다.비수술 치료법으로 절개하지 않아 흉터가 거의 없습니다. 또한 국소 마취 시술로 시술 시간이 짧고 회복도 빠릅니다.수술 후 발생할 수 있는 갑상선 기능 저하의 문제가 발생할 가능성도 낮습니다.

대학교수 출신의 우수한 의료진과 함께하는 이진영 엄마병원은 환자가 아닌 사연을 가진 한 사람과 깊이 이해하고 교감하며 보다 행복한 치유 과정이 될 수 있도록 환자를 위한 진료를 시행합니다.임상경험이 풍부한 부산 갑상선 전문의에게 체계적인 검사를 받아보세요.

예약 및 문의 051-868-6078

부산광역시 연제구 거제대로 2959층

error: Content is protected !!