
안녕하세요 대구올리브동물병원 마케터 혜그림입니다.의외로 흔히 볼 수 있는 질병, 탈장입니다.
강아지들로부터 탈장이 잘 보여요.보호자가 직접 개의 몸을 이리저리 만져보면 배꼽처럼 튀어나와 있는 것이 만져지기도 합니다.
오늘은 탈장의 위치나 증상부터 종류를 살펴보도록 합시다.
- 제대탈장 (배꼽탈장)

제대 탈장

전역 탈장이 커지는 경우

제대탈장염증이 발생한 경우
가장 흔한 탈장입니다.배꼽 부위가 튀어나와요.
튀어나온 부위를 누르면 뱃속으로 쏙 들어가는 경우 – 환납성 탈장, 튀어나온 부위를 눌러도 들어가지 않는 경우 – 비환납성 탈장
어린 강아지에게서 주로 발생합니다.탯줄을 열 때 어미 개가 탯줄을 짧게 물어뜯는 경우에 발생할 수도 있습니다.따라서 가정에서 출산할 때 보호자가 미리 탯줄을 잘라 묶어주면 탈장 예방에 도움이 됩니다.
크기가 크지 않으면 실제로 장이 튀어나오기보다는 장을 둘러싼 장간막이 튀어나온 경우가 대부분입니다.그러나 크기가 크면 장이 함께 나올 수 있습니다.
이것은 초음파 검사로 정확하게 확인할 수 있습니다.종종 피하 종양과 혼동될 수 있으므로 반드시 초음파 검사로 진단해야 합니다.
만약 수술을 해야 한다는 진단을 받았다면 예방적으로 미리 수술하는 것도 좋은 선택입니다.중성화할 때 함께 하면 마취를 여러 번 하지 않아도 됩니다.
시간이 지나 탈장 부위가 커지면 나중에 문제가 되지 않도록 수술하는 것이 좋아요.탈장 부위가 커서는 안 되지만 해당 부위가 빨갛게 염증이 있는 것처럼 바뀌거나 열감이 있고 통증이 있는 경우에는 수술해야 합니다.이것도 정확하게 확인하기 위해서는 초음파 검사를 할 필요가 있습니다.
2) 서혜부 탈장

서혜부 탈장의 우측 부분의 사타구니부 탈장을 말합니다.젊은 경우보다는 보통 중년 이상의 개에서 확인됩니다.가랑이 부위가 불룩 튀어나와요.역시 환납성과 비환납성으로 나뉩니다.
튀어나온 부위를 누르면 쏙 들어가는 경우 – 환납성 탈장, 튀어나온 부위를 눌러도 들어가지 않는 경우 – 비환납성 탈장
탈장의 크기에 따라 소장, 방광, 자궁 등이 나올 수 있습니다.대부분의 경우 한쪽 사타구니에서 탈장이 발생하면 반대쪽도 탈장이 일어납니다.
그래서 수술을 두 번 해야 하는 경우가 많습니다.
이것도 정확한 확인은 초음파로 가능합니다.탈장 부위가 너무 넓은 경우 mesh 소재를 복벽 안쪽에 대고 수술할 수도 있습니다.
3) 회음부 탈장

강아지 회음부 탈장

강아지 회음부 탈장
항문 주위의 피부가 볼록하게 올라오는 증상입니다.중성화되지 않은 수컷 고령견에서 다수 발생합니다.(중성화를 해도 극히 드물게 발생할 수 있습니다.) 노화나 호르몬의 영향으로 항문이나 골반 주위의 근육 위축으로 인해 발생합니다.
특히 짖을 때 뒤에서 만지거나 육안으로 보면 통통하게 올라옵니다.육안으로 구분하면 항문 주머니나 항문 주위의 종양과 혼동될 수 있습니다.그래서 초음파로 정확하게 확인해야 합니다.
수술은 매우 어려운 편입니다.주위의 근육이 많고 위축되어 있기 때문에 재발 가능성이 높습니다.
근육 위축이 심한 경우 골반 내에 있는 근육과 mesh 소재를 함께 봉합하여 수술하기도 합니다.수술하지 않고 방치할 경우 피부 손상 시 바로 장이나 방광 손상 및 감염될 수 있어 위험합니다.
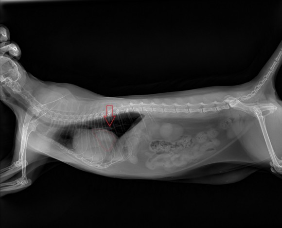
4. 횡격막탈장

횡격막 탈장(고양이), 육안으로 구별이 어렵고 엑스레이로 확인할 수 있는 표면에서는 전혀 깨닫지 못합니다.흉강과 복강을 구분하는 횡격막에 구멍이 있는 경우 횡격막 구멍이 심낭과 연결되어 심낭 안에 간이나 위가 말려드는 경우가 많습니다.
엑스레이 검사로 확인할 수 있습니다.
임상 증상이 없을 때는 수술하는 것이 좋으며 간이나 소장이 지나치게 심낭 내에 많이 말려 괴사하는 경우 합병증이 발생할 수 있습니다.
탈장은 학부모님께서 가정에서 진단하기가 어렵습니다.따라서 의심이 들면 병원에서 상담을 받는 것이 좋습니다.
도움이 되었다면 공감 / 좋아요. 꽉 눌러주세요 🙂
- 본 포스팅의 글에는 지식과 상식에 바탕을 두고 있지만 마케터의 주관적인 의견이 포함되어 있습니다.