12주가 지난 뒤 4주에 한 번씩 병원에 가게 됐다.병원에 갈 날을 기다리다 보면 시간이 많이 가지 않을 것 같다는 생각이 들지만 2주 간격으로 갔던 병원을 4주 간격으로 가게 돼 더 그랬다.
12주에 니프티 검사를 받고 괜찮을 줄 알았는데 갑자기 병원에서 전화가 와서 깜짝 놀랐다.정상이면 문자, 비정상이면 전화로 온다는 공식인 줄 알았는데 병원마다 다른지 호산 산부인과에서는 정상이라고 직접 전화로 알려주더라.(메일로 보냈으면 좀 더 마음이 편했을 것 같다.)ㅋㅋㅋ)

니프티 검사지는 정말 별거 아니야.60만원이나 내고 간 검사인데 이 결과지 한 장이 전부! 그래도 99% LowRisk라고 하니 마음은 편하다. 남편은 편한 게 제일 중요하다고 잘한 것 같다고 하더라.
어쨌든 니프티 검사가 잘 돼 16주가 돼서야 신경관 결손 검사가 남았다. 신경관 결손 검사는 니프티 검사를 해도 추가로 받아야 함 🙂
취약X증후군 검사는 자폐증, 정신지체 같은 유전적 요소가 있는지 확인하는 검사인데 한번 하면 두 번째부터는 하지 않아도 된다고 한다. 사실 취약X증후군 검사는 굳이 할 필요가 없다고 생각했는데 선생님이 자연스럽게~ 하고 갑니다. 하는 식으로 말씀하셔서 그대로 했다.(호갱)

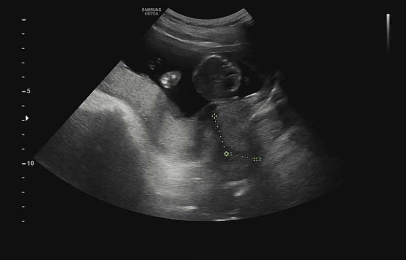
지난 초음파 영상을 보면서 처음에 재는 길이가 뭘까 했는데 자궁경부 길이라고 설명해주셨다.자궁경부 길이가 너무 짧으면 조산 위험이 있고 임신부 사이에서는 ‘눕는다’고 알려진 절대 안정을 취해야 한다.
이 경우 밥 먹을 때 말고는 앉아 있을 수도 없다고 하니 엄마가 되는 게 정말 쉽지 않다.

16주가 되면 아기가 꽤 커서 한 초음파 화면에 잡히지 않는다. 그래서 머리-몸통-발처럼 한 군데씩 돌면서 초음파를 봤다.
제일 먼저 본 머리! 뇌가 잘 정착해서 성장하고 있다고 하셨다. 뇌 중간 부분의 길이도 재줬는데 어떤 부위였는지는 잘 기억나지 않는다^^;처음 듣는 부위였던 것 같다.

그리고 귀여운 허벅지 공개! 허벅지뼈가 보였어. 허벅지 뼈 길이도 아이의 성장에 중요한 요소인지 길이를 꼼꼼히 재줬다.
그리고 어? 매끈하네.···?

우리 아이는 각도법으로 반전 없이 딸로 판정!처음에는 남편을 닮은 아기가 좋을 것 같아서 아들을 원했지만 지금은 딸도 좋아 :- 3 예쁘고 잘 키워야지!

아직 10cm밖에 안 되는 아기가 발바닥도 있고 발가락도 5개 있다! 발바닥은 2센티밖에 안 되는데, 그렇게 작은데 발가락이 5개나 있다니!

그리고 나름대로 눈맞춤을 해준 아기!솔직히 내 아기인데 무서워서 놀랬어~! 해골 바가지인 줄 알았어. 아직 얼굴에 살이 없는 상태라 이런 모습이라고 한다. 선생님께서 안구도 잘 형성되어 있어요~ 하면서 가르쳐 주셨는데 무섭다..^^;; 빨리 살이쪄서 입체초음파때 얼굴을 보고싶어~!우리 둘 중 누구를 닮았는지 궁금해 🙂


21년 마지막 날 신경관결손, 취약X증후군까지 통과해 마침내 기형아 검사의 고비를 넘겼다.
