연령: 8세 10개월 연령 성별: 중화 여아 품종: 강아지(스피츠) 주요 증상: 다음 다뇨, 탈모, 복부팽만
다른 병원에서 쿠싱증후군으로 진단받아 치료제를 복용하던 쿠니(가명)는 내복약 복용 초기에는 임상증상 개선이 있었으나 복용 후 2~3개월 후부터 임상증상이 다시 나타나기 시작했습니다. 이후 내복약 용량을 늘려보았으나 증상이 개선되지 않아 본원에 치료를 위해 내원하였습니다.
쿠싱증후군의 상세한 감별 및 임상증상이 나아지지 않는 이유가 있는지 신체검사를 포함한 혈액검사 및 영상검사를 시행하기로 하였습니다.
우선 신체검사상 양쪽 갈비뼈가 닿아 지방이 많고 근육이 상대적으로 적은 상태였습니다. 피부와 체형에 관한 문제가 두드러지면서 사진과 같이 복부팽만이나 탈모, 칼슘 석회화 등의 증상이 관찰되었습니다.
혈액 및 소변검사상 혈청화학검사에서 다른 병원에서 혈액검사가 진행된 부분이 있어 쿠싱으로 주로 바뀔 수 있는 수치만을 약식으로 검사하였습니다. 쿠싱증후군 합병증으로 인한 간 수치 변화 중 ALP는 정상이고 ALT는 소폭 증가한 것으로 확인되었습니다.

소변 검사에서는 단백뇨나 감염이 확인되지 않아 소변 비율이 저하된 것으로 확인되었습니다.만성 신부전이 병발되어 있거나 쿠싱 증후군에 의해 상대적으로 저평가되어 있는 상황으로 판단되었습니다.

코르티솔 검사상 환자의 내원 스트레스를 고려하여 내복약을 복용한 지 3시간 후에 코르티솔 수치만 체크하였습니다.부신이 가장 억압받는 시간임에도 불구하고 10 이상으로 높게 측정되었습니다.
계속되는 영상검사상에서는 석회화 및 간비대가 확인되었고 피부에서도 피부석회화(Calcinosiscutis)가 관찰되었습니다.
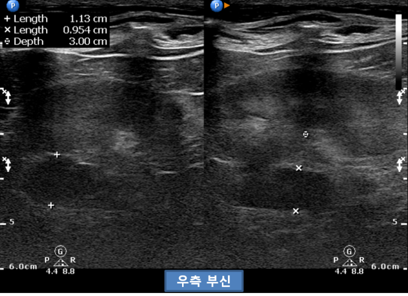
초음파상에서 양측 부신종대(왼쪽 11-12mm, 오른쪽 10-11mm)가 확인되었습니다.
여러 검사 결과를 종합하여 잠정적으로 쿠싱 증후군에서도 Pituitary dependanthyperadrenocorticism(PDH)으로 진단하였습니다.쿠싱 증후군은 일반적으로 크게 3가지 유형이 있으며, 각각의 원인이 다릅니다.
- Pituitary-dependenthype radrenocorticism(PDH) 하수체에 문제가 있고 부신자극호르몬이 지속적으로 나오는 형태입니다.쿠싱 환자의 80~85%를 차지하며 쿠싱의 대표적인 원인입니다.
- 2. Adreal-dependenthyperadrenocorticism(ADH) 부신에 종양이 생겨 코르티솔이 지속적으로 분비되는 형태입니다.쿠싱 환자의 15~20% 정도를 차지하며 보통 이전 PDH와 달리 한쪽 부신이 작아집니다.
- 3. Iatrogenichyperadrenocorticism(의인성 쿠싱) 스테로이드 외용제를 장기간 사용했을 경우 쿠싱과 같은 임상 증상을 보입니다.
쿠싱 증후군은 치료 중에 개선이 되지 않는 경우 이유는 다양합니다.
- 보호자의 투약 실수 및 투약 방법의 문제 – 약의 투약 빈도 및 용량상의 문제 – 수의사와 보호자의 치료 목표 설정 불일치 – 진단 과정의 오류 – 약에 대한 환자의 감도 차이 등
구니의 경우 보호자의 투약 문제도 없고 진단도 명확했기 때문에 약 용량 조절과 감도 차이 등이 우선 고려되어 우선 내복약 용량 조절을 진행하였습니다.
내복약을 서서히 증량했지만 수치 개선도 없었고 증상 개선도 보이지 않았습니다. 크니의 경우는 약의 감도 문제가 있다고 판단되어 다른 메커니즘의 약으로 변경 적용하기로 했습니다.
변경된 약의 경우 최초 1주일 이내에 반응이 중요하고 검사 결과가 양호한 경우 1주일에 2~3회 복욕이 지시되는 약입니다.구니는 내복약 복용 1주일차에 다음 다뇨와 식욕에 변화를 보여 호르몬 검사를 하였으며 검사 결과는 매우 양호하였습니다.
검사결과에 따라 동일 내복제로 지속적으로 복용하였으며, 재검사 시 호르몬 검사결과 및 임상증상 모두 호전된 모습을 보였습니다.아래는 국가의 치료 전, 치료 후 모습입니다. 사진으로 보시는 시피 확실히 피부가 좋아진 것을 확인하실 수 있습니다.
좌) 치료 전/우) 치료 후
좌) 치료 전/우) 치료 후
좌) 치료 전/우) 치료 후
쿠싱증후군은 우리나라 노령견에게 가장 흔한 내분비 질환 중 하나입니다. 대부분 정확한 진단과 치료가 진행되면 큰 문제 없이 관리되지만 그럼에도 불구하고 증상을 지속적으로 보이는 어린이가 있습니다.본 환자에서는 내복약 변경으로 크게 호전되었으나 어린이마다 그 원인이 다를 수 있으므로 만약 우리 아이가 치료 중에도 증상 개선이 없다면 놓치지 말고 병원에 내원하여 그 원인에 대해 면밀히 살펴보는 것이 중요합니다.VIP 동물의료센터 서초점 내과 과장 김광준 수의사